Devitalizzazione
L'ENDOdonzia (devitalizzazione) nel nostro studio:
Eliminare il dolore e salvare il tuo dente
Il Problema: Un dolore intenso che non può essere ignorato
Quando una carie profonda o un trauma danneggiano la polpa (il “nervo”) che è il cuore vivo del dente, l’infezione può causare un dolore acuto, pulsante e spesso insopportabile. È un dolore che non passa con gli antidolorifici e può portare a complicazioni serie come un ascesso dentale (gonfiore con pus). In questa fase, ignorare il problema significa solo peggiorare la situazione e rischiare di perdere il dente.
La Soluzione: Un intervento risolutivo per eliminare l'infezione
La devitalizzazione (o cura canalare) è l’intervento che ci permette di salvare il tuo dente naturale. È eseguita in anestesia locale, ed ha un unico scopo: rimuovere la causa del tuo dolore. L’intervento consiste nel rimuovere la polpa infetta o necrotica, disinfettare con estrema cura l’interno del dente (i canali radicolari) e sigillarli per prevenire future infezioni.
I Nostri Trattamenti EndodonticI
Devitalizzazione
I denti a dipendenza del loro tipo, possono presentare varie difficoltà di trattamento. Con l’aiuto di sistemi di ingrandimento, possiamo trattare anche i casi più complessi con la massima precisione per risolvere il problema in modo rapido ed efficace, eliminando il dolore e preservando l’estetica del tuo sorriso.
Ritrattamento Canalare:
A volte, una devitalizzazione eseguita in passato può non avere successo e l’infezione può ripresentarsi. Eseguiamo anche ritrattamenti canalari quando è ancora possibile salvare il dente: un intervento complesso che ci permette di “ri-pulire” il dente e salvarlo da un’estrazione altrimenti inevitabile.
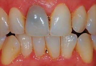
Sbiancamento endodontico
I denti devitalizzati possono essere soggetti a discoloramento col passare del tempo. Con tecniche di sbiancamento intracanalare, ripristiniamo il colore chiaro del dente.
Il Tuo Percorso per Salvare il Dente in 4 Semplici Passi
1.Prima Visita e Diagnosi
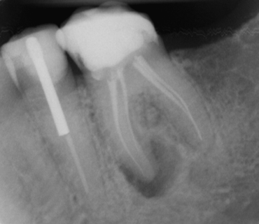
Il primo passo è una diagnosi accurata, anche con l’aiuto di una radiografia specifica, che ci permette di visualizzare le radici del dente e confermare la necessità del trattamento endodontico.
2. Piano di trattamento personalizzato
A dipendenza del dente e della sua situazione, una volta devitalizzato potrà richiedere una semplice ricostruzione, o se necessario, consiglieremo una copertura totale con una corona, per una maggior protezione.
3. Intervento Endodontico Indolore
Dopo l’anestesia e l’isolamento del dente con la “diga di gomma” per operare in sicurezza, procediamo alla pulizia e disinfezione dei canali.
4. Controllo e Protesi Definitiva
Una volta sigillati i canali, e a seconda del danno e la struttura rimanente del dente, procederemo con il ripristino della funzionalità. Il tuo dente è ora salvo e di nuovo funzionale!